-
محليات
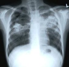
يوم السلّ العالمي التهوية والكمامات أبرز سبل الوقاية منه
صراحة – وكالات : يحتفل العالم بـ”يوم السلّ العالمي”، الأحد، في إطار التوعية بالمرض، وإتاحة خدمات التشخيص والعلاج والرعاية إتاحة شاملة لجميع المتضررين بمرض السل. فبحسب منظمة الصحة العالمية بلغ إجمالي عدد الوفيات بسبب السلّ…
أكمل القراءة » -
-
-
-
-
-






